1. chongchong

    chongchongThành Viên Cấp 1

    Tham gia ngày:
    25 Tháng mười một 2015
    Bài viết:
    182

    Toàn Quốc Niềng răng người lớn tuổi tại trung tâm nha khoa nào uy tín?

    Thảo luận trong 'Làm đẹp' bắt đầu bởi chongchong, 4 Tháng hai 2017.

    Giá bán:
    0
    Giá khuyến mãi:
    0
    Với sự phát triển của công nghệ nha khoa ngày nay, chỉnh nha niềng răng cho người lớn ngày càng trở phải phổ biến hơn. Không bao giờ là quá trễ nhằm cải thiện thẩm mỹ cho hàm răng không được đẹp của mình dù quý khách đang ở bất kỳ mức độ tuổi nào.

    Chữa trị niềng răng thẩm mỹ cho người lớn
    Những bác sĩ chữa trị thường đề nghị phải niềng răng nha khoa lúc khách hàng có nhiều trường hợp về răng như: hô, móm, mọc lệch, thưa, chen chúc, hay khớp cắn không chính xác… do đó với các tình trạng này khiến bạn không dễ khăn trong việc vệ sinh răng miệng, ảnh hưởng thẩm mỹ và chức năng ăn nhai, có khả năng gây ra rối loạn khớp cắn, đau khớp kéo dài.


    Chỉnh nha niềng răng thẩm mỹ không những giúp khách hàng với được hàm răng đều đẹp mà còn giúp cải thiện thẩm mỹ của gương mặt, bạn sẽ có một gương mặt cân đối hài hòa sau lúc niềng răng thẩm mỹ.
    khi chỉnh nha niềng răng thẩm mỹ cho người lớn, họ thường quan tâm đến những trường hợp hơn trẻ em như: niềng răng thẩm mỹ có đau không? niềng răng mất bao lâu có lâu không? với nên nhổ răng lúc niềng không? Yếu tố thẩm mỹ khi niềng răng nha khoa,…

    Bạn có thể xem thêm: niềng răng ở đâu tốt nhất


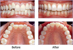
    Nieng rang nguoi lon tuoi tai trung tam nha khoa nao uy tin



    Thời gian chữa trị niềng răng nha khoa cho người trưởng thành
    Do xương hàm của người lớn không còn phát triển nữa phải niềng răng hết bao lâu cho người lớn thường ngắn hơn tại trẻ em, bình thường đến từ 18 – 24 tháng. Nhưng đối với những tình trạng như răng ngầm hay mất răng thì thời gian điều trị có khả năng kéo dài lâu hơn khoảng 3 năm hoặc chỉ 6 tháng đối với tình trạng hỗ trợ phục hình răng sứ hay cấy ghép implant.

    Niềng răng nha khoa chữa trị có đau không?
    Với phương pháp niềng răng nha khoa hiện đại ngày nay bác sĩ có thể kiểm soát lực tác động lên răng 1 cách nhẹ nhàng, liên tục và ổn định giúp giảm đau và giảm các biến chứng phụ như tụt nướu, tiêu xương kết quả đạt được sau khi chữa trị sẽ bền vững hơn.

    Người trưởng thành thường nên giao tiếp cùng làm việc cần tình trạng thẩm mỹ trong khi niềng răng cực được quan tâm. Do vậy, với mục đích giải quyết trường hợp này bác sĩ thường đưa ra cho họ những công nghệ niềng răng thẩm mỹ mắc cái sứ, mắc cài mặt lưỡi hay niềng răng nha khoa có nhiều khay niềng trong suốt invisalign, Với mức độ thẩm mỹ cao, khó bị phát hiện mang lại sự tự tin cùng thoải mái trong khi niềng.

    Nguồn: Niềng răng người lớn tuổi tại trung tâm nha khoa nào uy tín?
     
    Last edited: 14 Tháng ba 2017

Chia sẻ trang này